CURSOS PRÁCTICOS VET ACADEMY NOVOTECH 2023

CONOCE LOS 9 CURSOS PRÁCTICOS DE CITOLOGÍA DE

VET SURGERY ACADEMY

CURSO PRÁCTICO DE CITOLOGÍA EN DERRAMES Y LÍQUIDOS CORPORALES

3 Y 4 DE JUNIO 2023

WALTER BERTAZZOLO


CONOCE LOS DETALLES >

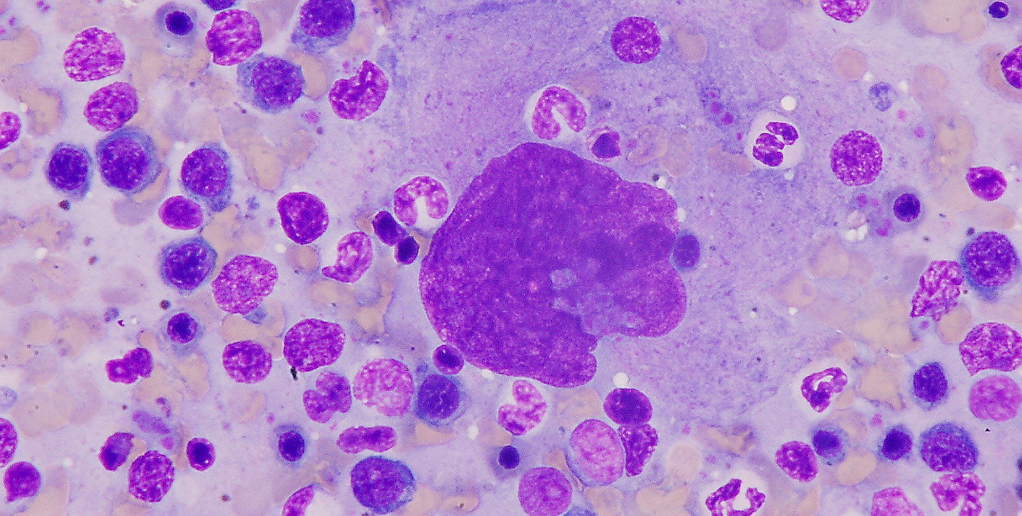
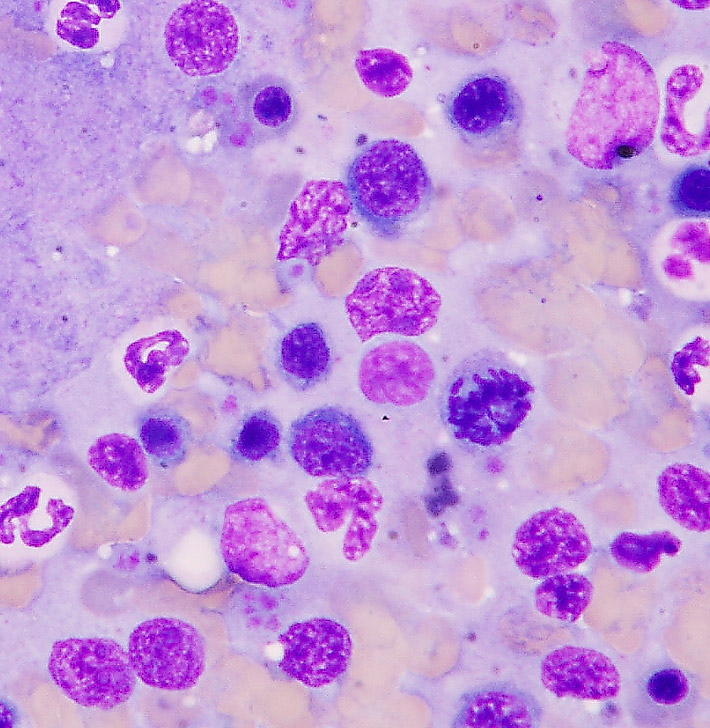
CURSO PRÁCTICO DE
CITOLOGÍA
ONCOLÓGICA

27 Y 28 DE MAYO 2023

ELENA MARTINEZ DE MERLO


CONOCE LOS DETALLES >

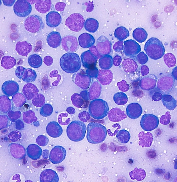
CURSO PRÁCTICO
DE CITOLOGÍA EN
HEMATOLOGÍA

21 DE SEPTIEMBRE 2023

CRISTINA FERNÁNDEZ ALGARRA


CONOCE LOS DETALLES >

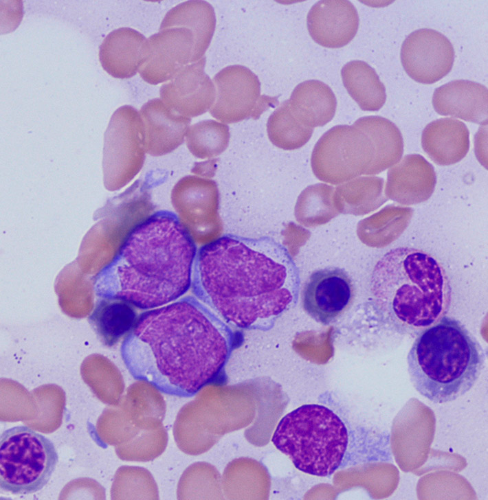
CURSO PRÁCTICO
DE CITOLOGÍA EN
MÉDULA ÓSEA

22 DE SEPTIEMBRE 2023

CRISTINA FERNÁNDEZ ALGARRA


CONOCE LOS DETALLES >

CURSO PRÁCTICO
DE CITOLOGÍA EN
DERMATOLOGÍA

26 Y 27 DE OCTUBRE 2023

FRANCESCO ALBANESE


CONOCE LOS DETALLES >

CURSO PRÁCTICO
DE CITOLOGÍA EN
OFTALMOLOGÍA

10 DE NOVIEMBRE 2023

LAIA PALAU


CONOCE LOS DETALLES >

CURSO PRÁCTICO DE
CITOLOGÍA EN EL
PACIENTE FELINO

26 Y 27 DE OCTUBRE 2023

ALBA SANZ


CONOCE LOS DETALLES >

CURSO PRÁCTICO DE
CITOLOGÍA EN EL
PACIENTE EXÓTICO

10 DE NOVIEMBRE 2023

CARLES JUAN SALLÉS


CONOCE LOS DETALLES >

MASTER 100% PRÁCTICO
DE CITOLOGÍA CLÍNICA EN EL
PACIENTE CANINO Y FELINO

(Novedad en España único con más de 200 horas de prácticas
en el microscopio, con un Microscopio Olympus de 24 plazas)
24 dias, divididos en 8 bloques de 3 días cada uno

16 PONENTES

ELENA MARTÍNEZ DE MERLO, WALTER BERTAZZOLO, ALBA SANZ, FRANCESCO ALBANESE, ESTER TORRES, LAIA PALAU, CRISTINA FERNÁNDEZ ALGARRA, FRANCESCO CIAN, MARTINA PIVIANI...


CONOCE LOS DETALLES >
SERVICIOS NOVOTECH GROUP